Advertisement

Pseudostratified Ciliated Columnar / / The cells that comprise the epithelial membranes are variously shaped and are named accordingly.

Pseudostratified Ciliated Columnar / / The cells that comprise the epithelial membranes are variously shaped and are named accordingly.. Includes secretory, nonciliated cells (with basal nuclei). Its function is to protect these trachea composes of pseudostratified columnar, ciliated epithelium, goblet cells. Pseudostratified ciliated columnar epithelium consists of a single layer of cells. A pseudostratified columnar epithelium is a tissue formed by a single layer of cells that give the appearance of being made from multiple layers, especially when seen in cross section. Find out information about pseudostratified ciliated columnar epithelium.

Epithelial tissue lines the inner and outer surfaces of organs in the body and function in processes of secretion, absorption. A type of epithelium in which all cells reach to the basement membrane but some extend toward the surface only part way. The pseudostratified columnar epithelium is found in different parts of the body and each specific location serves different functions. The cells that comprise the epithelial membranes are variously shaped and are named accordingly. Ciliated pseudostratified columnar epithelia is found lining the trachea and upper respiratory tract.

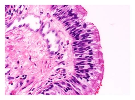
Mammalian Histology: Epithelial Tissues - Berkshire ...
Mammalian Histology: Epithelial Tissues - Berkshire ... from blogs.berkshirecc.edu
Ciliated pseudostratified columnar epithelia is the type of respiratory epithelium found in the linings of the trachea as well as the upper respiratory tract. Pseudostratified ciliated columnar epithelium consists of a single layer of cells. Epithelial tissue lines the inner and outer surfaces of organs in the body and function in processes of secretion, absorption. Learn about pseudostratified ciliated columnar epithelium with free interactive flashcards. Pseudostratified ciliated epithelium lines the nasal cavities, trachea, and bronchi. Posteriorly, the epithelium is a pseudostratified ciliated columnar epithelium that covers the respiratory regions (formed by the maxilloturbinates).45,107,110 the superior turbinate. As it rarely occurs as squamous or cuboidal epithelia. Cliffsnotes states that the pseudostratified characterization comes from the fact that ciliated columnar epithelium cells appear to have multiple layers when there is actually just one cell.

Trachea histology slide) click to enlarge.

This gives the appearance of multiple layers. Epithelial tissue lines the inner and outer surfaces of organs in the body and function in processes of secretion, absorption. 200 to 300 cilia per cell; Lines the nasal cavities, trachea, and bronchi by secreting mucus by goblet cells and move mucus with cilia. + pseudostratified columnar epithelial tissue. Histology of trachea histology slide of trachea histological slide of trachea. Pseudostratified ciliated columnar epithelium video. A pseudostratified epithelium is a type of epithelium that, though comprising only a single layer of cells, has its cell nuclei positioned in a manner suggestive of stratified epithelia. The cells that comprise the epithelial membranes are variously shaped and are named accordingly. The respiratory airways are lined by a pseudostratified columnar epithelium with a variety of distinct cell types including. As it rarely occurs as squamous or cuboidal epithelia. Crogvpseudostratified columnar tumor cells present. Ciliated pseudostratified columnar epithelia is the type of respiratory epithelium found in the linings of the trachea as well as the upper respiratory tract.

Unlike simple columnar epithelium, the nuclei are arranged at different levels within the cells. Pseudostratified ciliated epithelium lines the nasal cavities, trachea, and bronchi. Histology of trachea histology slide of trachea histological slide of trachea. Pseudostratified ciliated columnar epithelium cells function as a protective layer in the respiratory system of humans. Note the ciliated, pseudostratified columnar epithelium lining the tracheal lumen.

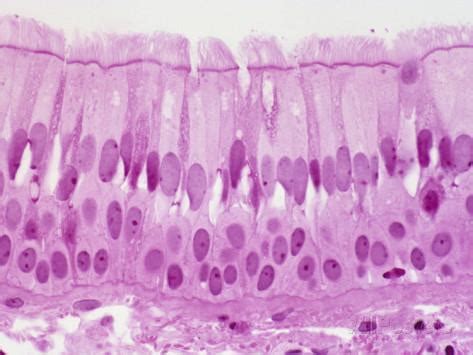
Anatomy & Physiology Biol 2401 > Tynes > Flashcards ...
Anatomy & Physiology Biol 2401 > Tynes > Flashcards ... from classconnection.s3.amazonaws.com
Posteriorly, the epithelium is a pseudostratified ciliated columnar epithelium that covers the respiratory regions (formed by the maxilloturbinates).45,107,110 the superior turbinate. The respiratory airways are lined by a pseudostratified columnar epithelium with a variety of distinct cell types including. As it rarely occurs as squamous or cuboidal epithelia. Ciliated pseudostratified columnar epithelia is the type of respiratory epithelium found in the linings of the trachea as well as the upper respiratory tract. Trachea histology slide) click to enlarge. Pseudostratified columnar epithelia are found forming the straight, tubular. Cliffsnotes states that the pseudostratified characterization comes from the fact that ciliated columnar epithelium cells appear to have multiple layers when there is actually just one cell. Pseudostratified ciliated columnar epithelial cell.

The pseudostratified columnar epithelium is found in different parts of the body and each specific location serves different functions.

Includes secretory, nonciliated cells (with basal nuclei). Pseudostratified ciliated columnar epithelium video. Note the ciliated, pseudostratified columnar epithelium lining the tracheal lumen. This gives the appearance of multiple layers. Lines the nasal cavities, trachea, and bronchi by secreting mucus by goblet cells and move mucus with cilia. Learn about pseudostratified ciliated columnar epithelium with free interactive flashcards. Pseudostratified ciliated columnar epithelial cell. Epithelial tissue lines the inner and outer surfaces of organs in the body and function in processes of secretion, absorption. Unlike simple columnar epithelium, the nuclei are arranged at different levels within the cells. Histology of trachea histology slide of trachea histological slide of trachea. Trachea histology slide) click to enlarge. Cliffsnotes states that the pseudostratified characterization comes from the fact that ciliated columnar epithelium cells appear to have multiple layers when there is actually just one cell. As it rarely occurs as squamous or cuboidal epithelia.

The pseudostratified columnar epithelium is found in different parts of the body and each specific location serves different functions. The trachea is lined with ciliated pseudostratified columnar epithelium. In some columnar epithelia, the cells become so crowded that some of the nuclei become displaced and several rows of nuclei appear in sections of the cell sheet. Pseudostratified ciliated epithelium lines the nasal cavities, trachea, and bronchi. A pseudostratified columnar epithelium is a tissue formed by a single layer of cells that give the appearance of being made from multiple layers, especially when seen in cross section.

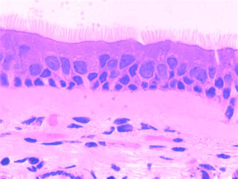
Ciliated Pseudostratified Columnar Epithelium with goblet ...
Ciliated Pseudostratified Columnar Epithelium with goblet ... from farm7.staticflickr.com
The respiratory airways are lined by a pseudostratified columnar epithelium with a variety of distinct cell types including. Pseudostratified ciliated epithelium lines the nasal cavities, trachea, and bronchi. Includes secretory, nonciliated cells (with basal nuclei). The trachea is lined with ciliated pseudostratified columnar epithelium. Ciliated pseudostratified columnar epithelia is the type of respiratory epithelium found in the linings of the trachea as well as the upper respiratory tract. The pseudostratified columnar epithelium is found in different parts of the body and each specific location serves different functions. This gives the appearance of multiple layers. Pseudostratified ciliated columnar epithelial cell.

A type of epithelium in which all cells reach to the basement membrane but some extend toward the surface only part way.

Pseudostratified ciliated columnar epithelium consists of a single layer of cells. A pseudostratified columnar epithelium is a tissue formed by a single layer of cells that give the appearance of being made from multiple layers, especially when seen in cross section. Pseudostratified columnar epithelia are found forming the straight, tubular. A pseudostratified epithelium is a type of epithelium that, though comprising only a single layer of cells, has its cell nuclei positioned in a manner suggestive of stratified epithelia. Ciliated pseudostratified columnar epithelia is the type of respiratory epithelium found in the linings of the trachea as well as the upper respiratory tract. Histology of trachea histology slide of trachea histological slide of trachea. A type of epithelium in which all cells reach to the basement membrane but some extend toward the surface only part way. As it rarely occurs as squamous or cuboidal epithelia. The cells that comprise the epithelial membranes are variously shaped and are named accordingly. The trachea is lined with ciliated pseudostratified columnar epithelium. Ciliated pseudostratified columnar epithelia is the type of respiratory epithelium found in the linings of the trachea as well as the upper respiratory tract. It is said to be pseudostratified (pseudo = false) because its structure creates a visual illusion of being multilayered. Pseudostratified ciliated columnar epithelium cells function as a protective layer in the respiratory system of humans.

+ pseudostratified columnar epithelial tissue pse. It is said to be pseudostratified (pseudo = false) because its structure creates a visual illusion of being multilayered.

Post a Comment

0 Comments